Anda tidak dapat mengakses halaman ini karena belum diverifikasi oleh admin. Hubungi admin untuk info lebih lanjut.
0 of 50 Questions completed
Questions:
You have already completed the quiz before. Hence you can not start it again.
Quiz is loading…
You must sign in or sign up to start the quiz.
You must first complete the following:
0 of 50 Questions answered correctly
Your time:
Time has elapsed
You have reached 0 of 0 point(s), (0)
Earned Point(s): 0 of 0, (0)
0 Essay(s) Pending (Possible Point(s): 0)
Penilaian kelainan jantung meliputi
Metastasis hepar dapat dilihat dengan cepat dan mudah lewat?
Klinis: trauma thorax. Gambaran radiologist yang ditemukan seperti yang tampak di bawah ini, maka diagnosis foto thorax tsb adalah

Singgle bubble sign ditemukan pada?
Tanda radiologis khas Hypertensive Heart Disease (HHD)?
Nama jenis fraktur ini adalah?

Tanda-tanda radiologis dari Mitral Stenosis adalah sebagai berikut kecuali?
Osteomyelitis tulang panjang lebih banyak ditemukan pada?
Pada foto thorax PA dan lateral tampak bayangan opak oval batas tegas di lapangan tengah paru kanan, tampaknya di lobus medius. D/ nya

Onion skin appearance ditemukan pada?
Sinar X dan sinar Gamma merupakan gelombang elektromagnetik yang memiliki sifat-sifat yang sama, akan tetapi keduanya juga memiliki perbedaan. Perbedaannya keduanya terletak pada hal-hal berikut ini?
Tanda dari atelectasis adalah?
Tanda-tanda radiologis pembesaran ventrikel kanan?
Dari hasil x-ray yang terlihat diagnosisnya adalah?

Berikut ini adalah gambaran radiologis yang menggambarkan TB paru lama (inaktif) kecuali?
Klinis: diare, nyeri perut, penurunan berat badan, fatigue. Gambaran radiologis sebagai berikut. Diagnosis paling mungkin?

Klinis: respiratory distress syndrome. Bayi lahir cukup bulan. Gambaran radiologi tampak seperti foto dibawah ini

Daya tembus sinar X ditentukan oleh:
Interpretasi dari foto thorax di bawah ini?

Karakteristik tumor ginjal pada orang dewasa?
Gambaran di bawah ini menunjukkan?

Sinar X dan sinar gamma digunakan dalam bidang radiologi karena?
Urutan reaksi periosteal dari paling tidak malignan sampai paling malingan adalah?
Gambaran radiologis ini menunjukkan?

Tumor ginjal pada anak kecuali?
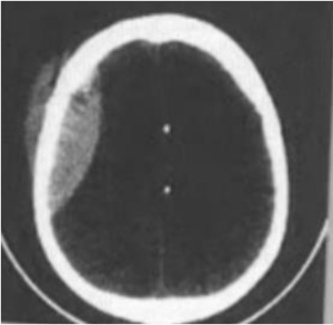
Klinis: KLL, benturan pada kepala dengan disertai pingsan dan muntah-muntah. Tampak lesi hiperdens pada daerah yang tampak di bawah ini. Diagnosis CT kepala

Klinis sesak napas, diagnosisnya adalah
Densitas yang tampak bila dilakukan pemeriksaan X-ray pada jantung adalah?
Berikut ini adalah contoh media kontras positif?
Diagnosis: pembesaran jantung dengan hipertensi pulmonal ec Congenital Heart Disease. Kemungkinan Congenital Heart Disease yang terjadi berdasarkan foto rontgen di bawah ini adalah?

Klinis head injury (HI). Hasil CT scan kepala seperti di samping. Diagnosisnya adalah

Toksisitas media kontras berhubungan dengan hal berikut kecuali?
Bila pada suatu pemeriksaan foto lambung dengan kontras Barium terdapat gambaran cacat pengisian dengan permukaan yang tidak rata, maka kemungkinan lambung penderita mengalami?
Coiled spring appearance ditemukan pada?
Tanda khas yang ditemukan pada Chron’s disease?
Dengan BNO kita dapat melihat?
Bila seseorang difoto dengan proyeksi RLD, maka sumber sinar berasal dari arah?
Laki-laki umur 38 tahun dengan klinis sesak napas sakit dada kiri, batuk. Hasil foto thorax seperti disamping. Diagnosisnya adalah

Pada foto thorax PA dan lateral tampak bayangan opak oval batas tegas di lapangan tengah paru kanan, tampaknya di lobus medius. Diagnosis paling mungkin?

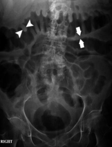
Klinis: anak 2 tahun, perut kembung dan sakit daerah perut. Dari hasil BNO datar di bawah ini, diagnosis

Seorang anak laki-laki usia 12 tahun datang dengan keluhan bengkak di lengan sudah lama. Hasil foto lengan bawah seperti berikut. Diagnosis paling mungkin?

Klinis: sakit pinggang. USG ginjal seperti gambar berikut. Diagnosis yang tepat?

Metastase hepar dapat dilihat dengan cepat dan mudah?
Pemeriksaan radiologi yang paling tepat untuk mendeteksi adanya kelainan pada pembuluh darah:
Gambaran radiologik yang bisa terlihat pada penderita hipertensi kronis adalah:
Seorang perempuan usia 45 tahun masuk ke instalasi gawat darurat dengan keluhan sesak nafas bila melakukan kegiatan. Penderita mempunyai riwayat pharingitis berulang pada masa kanak-kanak, palpable diastolic thrill, serta bising jantung dengan opening snap. Kelainan jantung pada kasus ini sangat mungkin disebabkan oleh gangguan yang terjadi pada:
Seorang penderita dicurigai ada obstruksi pada saluran kelenjar parotis kiri. Pemeriksaan radiologi yang sebaiknya dilakukan adalah?
Penderita dengan hematemesis diperiksa dengan
Mouse tail appearance adalah tada radiologis dari?
Penderita yang mengeluh epigastric pain dan melena, sebaiknya menjalani pemeriksaan radiologi
