0 of 50 Questions completed
Questions:
You have already completed the quiz before. Hence you can not start it again.
Quiz is loading…
You must sign in or sign up to start the quiz.
You must first complete the following:
0 of 50 Questions answered correctly
Your time:
Time has elapsed
You have reached 0 of 0 point(s), (0)
Earned Point(s): 0 of 0, (0)
0 Essay(s) Pending (Possible Point(s): 0)
What Brodmann area corresponds to primary visual cortex?
Number 1 in this image represents what structure?

Regions of the brain devoid of a blood-brain barrier include all of the following, EXCEPT?
A 27-year-old man is involved in a motor vehicle collision. The patient is brought to the emergency room and stabilized. Imaging demonstrates a lower cervical spinal cord injury. On exam, the patient is hypotensive and lethargic with minimal movements of the upper extremities. You suspect spinal shock and initiate pressor support. Spinal shock occurs when there are injuries to the spinal cord above level …… and the hypotension observed is due to interruption on ……. Element of the nervous system.
The term lentiform nuclei refers to what structure(s)?
Which of the following constellations about hypothalamic function is/are correct?
The dura mater forms from what embryologic layer?
At what day of human embryogenesis does the primary neurulation begin?
A 62-year-old female undergoes microvascular decompression for hemifacial spasm. Postoperatively, she has complete ipsilateral deafness but no other neurologic deficits. The most likely cause of this deficit was in jury to one of the blood vessels that originated from which artery?
A 42-vear-old female was recently diagnosed with spontaneous intracranial hypotension. All of the following are frequently associated with this problem EXCEPT?
Refer to figure below. This disorder is caused by…

The hand abnormality shown in figure below can be caused by injury of…

Papez’s circuit includes all of the following structures, EXCEPT?
The afferents from the mammillothalamic tract project from the mammillary bodies to what thalamic nuclei?
What tumor is least likely to metastasize to the brain?
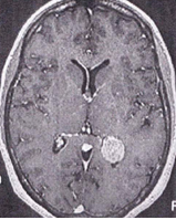
What neoplasm is depicted on the following contrasted T1-weighted MRI in an asymptomatic adult male?

What neoplasm is depicted on this external carotid angiogram (midarterial phase)?

What primary CNS neoplasm is associated with eosinophilic granular bodies?
Most common protein/stain used in Meningioma is…
What structure is indicated by the arrow in this image from an endoscopic third ventriculostomy?

What is the most common pineal region tumor in children?
What cranial nerves most commonly are affected in a symptomatic Chiari type 2 malformation?
What supplement during the first trimester of pregnancy is considered preventive for myelomeningocele?
What intracranial tumor is associated with polycythemia?
An 1 1-month-old boy presents with macrocrania and failure to thrive. An MRI of the brain, shown in this image, confirms what likely type of hydrocephalus?

The spinocerebellar tract (SCT) conveys proprioceptive information from the body to the cerebellum. Which pathway is correct?
A patient has a cerebellar lesion causing symptoms including impairment in the ability of standing upright and maintaining gaze direction. What is the likely location of such a lesion?
What nerve(s) provide(s) parasympathetic innervation to the kidneys?
Degenerative spondylolisthesis is most common at what level in the lumbar spine?
A 35-vear-old construction worker fell from a three-story building while at work and suffered a complete spinal cord injury at the C2 level. Which of the following functions may be preserved after a complete spinal cord injury at this level?
Paralysis of pelvic floor muscles, symmetric saddle anesthesia, impaired erection and ejaculation, constipation, and an autonomous neurogenic bladder best describe what spinal cord lesion?
What feature of a burst fracture may imply instability and the need for surgery?
A patient with L4/L5 degenerative spondylolisthesis presents with radiculopathy. The L4 vertebral body is approximately 60% anterolisthesed. What grade is this spondylolisthesis according to the Meyerding grading scale?
Pain and temperature fibers from the face are relayed to what nucleus?
What extraocular muscle is innervated by a contralateral nucleus?
Which nucleus is the center of control for the direct and consensual pupillary light reflex?
You are falling asleep during neurosurgery teaching rounds and your co-resident pinches the back of your left arm. You immediately wake up and turn your head to the left to see what caused the Which spinal cord tract is involved, causing you to turn and look at the source of the pain?
You are evaluating a patient in the emergency department who is comatose from a large subdural He demonstrates decerebrate posturing and fixed, nonreactive pupils. What spinal cord tract mediates his peripheral response?
Which muscle is not innervated by the recurrent branch of the laryngeal nerve?
Which of the following are possible complications of mannitol administration?
A 42-year-old male falls 25 feet while at work and arrives at the emergency department with a Glasgow Coma Scale (GCS) score of 5, a dilated and nonreactive right pupil, and a mean arterial blood pressure of 80. After airway management and fluid resuscitation, his GCS improves to 7, but his right hemiparesis and nonreactive pupil remain unchanged. The patient also sustained a pelvic fracture, a left humeral fracture, splenic and liver lacerations, and multiple fractures of the cervical spine. Initial management of this patient should include:
In the event of trauma, what finding on a skull radiograph best indicates the possible need for emergent surgical intervention?
The presence of a “swirl” sign is described on a CT of the head. This finding indicates:
A tear in the middle meningeal artery is most likely responsible for a hemorrhage in what space/location?
You are evaluating an 82-year-old man who takes 325 mg of aspirin daily for coronary artery disease. He presented to the emergency department with a headache and sleepiness. Refer to CT shown. How long has this bleed likely been present?

You are evaluating an 82-year-old man with a history of a mechanical aortic valve. He presented to the emergency department with a headache and sleepiness. What procedure would you recommend?

What is the most likely etiology of the lesion demonstrated in the following lateral internal carotid angiogram (midarterial phase)?

A 51-year-old female was taken to an emergency room after collapsing at work. She was alert and communicative, with a severe headache, photophobia, nuchal rigidity, and blurry vision. Computed tomographv (CT) of the brain revealed diffuse subarachnoid blood in the basal cisterns, mild hydrocephalus, and no intraparenchymal hematoma. Her angiogram is depicted below. What is the clinical Hunt and Hess grade of this patient?

What MR sequence is the most sensitive in identifying intracerebral cavernous malformations?
What is the arterial supply for the optic tract?
