Anda tidak dapat mengakses halaman ini karena belum diverifikasi oleh admin. Hubungi admin untuk info lebih lanjut.
0 of 50 Questions completed
Questions:
You have already completed the tryout before. Hence you can not start it again.
Tryout is loading…
You must sign in or sign up to start the tryout.
You must first complete the following:
0 of 50 Questions answered correctly
Your time:
Time has elapsed
You have reached 0 of 0 point(s), (0)
Earned Point(s): 0 of 0, (0)
0 Essay(s) Pending (Possible Point(s): 0)
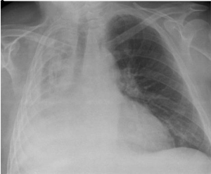
Tn. Kurapika, berusia 59 tahun datang ke RS dengan keluhan batuk sejak 2 bulan terakhir. Keluhan disertai sesak yang tidak berkurang dengan istirahat. Pada pemeriksaan tanda- tanda vital didapatkan TD 130/80 mmHg, HR 80x/mnt dan RR 26x/mnt dan suhu 37C. Pada pemeriksaan didapatkan perkusi pekak pada seluruh lapangan hemithoraks kanan. Pada pemeriksaan radiologi didapatkan sebagai berikut. Apakah kemungkinan diagnosis pasien tersebut?

Seorang laki-laki usia 45 tahun berobat karena demam dan batuk sejak 7 hari terakhir, batuk berdahak kehijauan (+). Keluhan sesak juga diakui pasien sejak 2 hari SMRS. Riwayat didiagnosis TB, batuk lama, batuk yang diperiksakan dahak ke Puskesmas, atau minum obat program berwarna merah disangkal. Riwayat alergi disangkal, komorbid yang diketahui berupa diabetes mellitus, terkontrol dengan metformin 3×500 mg. Pemeriksaan fisik saat ini pasien sadar penuh, TD 90/60, RR: 30x/m, Sat 91% tanpa O2, N: 118x/m, ronkhi kasar pada kedua lapang paru terutama pada hemithorax kanan. Pemeriksaan lab menunjukkan Hb 11.8 g/dL, Leukosit 17.500/dL, trombosit 98.000/dL, ureum 65 mg/dL, Creatinin 1.8 mg/dL, SGOT 56 mg/dL, SGPT 58 mg/dL, GDS 380 mg/dL. Apakah langkah yang anda lakukan selanjutnya?
Seorang pria usia 40 tahun datang ke klinik untuk konsultasi karena sedang dalam pengobatan TB 2 bulan intensif dengan OAT Kategori 1. Selain itu, pasien juga menderita DM dan diterapi dengan golongan sulfonylurea. Pasien menanyakan apakah ada interaksi yang mungkin muncul jika mengonsumsi obat sebanyak itu. Apakah yang harus disarankan kepada pasien tersebut?
Seorang laki-laki berusia 47 tahun dibawa ke bagian emergensi RS dengan keluhan sesak napas dengan sedikit batuk-batuk sejak 1 minggu yang lalu. Panas badan tidak jelas, tidur biasa dengan 2 bantal. Hasil laboratorium menunjukkan pemeriksaan leukosit berjumlah 8000/mm2. Pada gambaran foto toraks didapatkan adanya garis septal di lapang paru bawah peribronchial menebal, terlihat plethora apex jantung melebihi garis midklavikula sinistra, sudut costophrenicus tumpul, berselubung. Apakah diagnosis yang mungkin?
Seorang pria usia 20 tahun dibawa ke IGD oleh temannya karena berguling-guling sambil memegangi lehernya sejak 15 menit yang lau. Pasien tampak sesak dan terbatuk-batuk. Pada pemeriksaan didapatkan nadi 110x/min, respirasi 36x/min, terdengar stridor. Di manakah lokasi sumbatan benda asing pada pasien ini?
Seorang wanita usia 35 tahun, datang dengan keluhan batuk berdahak sejak 4 hari yang lalu. Dahak berwarna putih kekuningan. Pasien juga mengeluhkan demam sumeng. Pasien bar saja pindah rumah dan sering menunggu angkutan umum di tepi jalan. Pada pemeriksaan didapatkan ronkhi basah kasar dan mengi ekspirasi pada kedua lapang par. Kemungkinan diagnosis pasien di atas adalah?
Seorang pria usia 59 tahun datang dengan keluhan sesak napas yang hilang timbul sejak 1 tahun yang lalu. Sesak membuatnya sering berhenti untuk ambil nafas setelah berjalan sebentar atau naik beberapa naik tangga. Pasien dahulu bekerja sebagai buruh pabrik asbes. Pasien juga mengeluhkan kadang batuk berdahak berwarna jernih, darah (-), demam disangkal. Pemeriksaan fisik didapatkan pasien tampak sesak, TD 110/70 mmHg, nadi 102 x/mnt, napas 26 x/mnt, suhu 37,1◦C. Barrel chest (+), suara napas menurun di kedua lapang paru, wheezing -/-, ekspirasi memanjang. Pada spirometri didapatkan angka FEV1/FVC ≤ 70% setelah pemberian bronkodilator dan angka FEV1 50% prediksi. Apakah talaksana paling tepat pada pasien ini?
Ny Roserade, usia 32 tahun kontrol ke Poli TB karena didiagnosis TB Paru Kasus Baru terkonfirmasi bakteriologis karena mengeluh batuk selama 3 minggu dan penurunan berat badan sebanyak 4kg dengan Sputum BTA +/+/-. Kapan waktu yang tepat pasien akan dilakukan pemeriksaan bakteriologik?
Seorang laki-laki berusia 78 tahun dibawa ibunya ke RS dengan keluhan sesak napas sejak 2 hari yang lalu. Pasien diketahui menderita batuk pilek dan demam sejak 3 hari sebelumnya. Pada pemeriksaan fisik ditemukan TD 90/70 mmHg, Nadi 110x/menit RR 30 x/menit, sianosis, retraksi dinding dada, ronki kasar di kedua lapangan paru. Pada pemeriksaan rontgen toraks ditemukan infiltrat di kedua lapangan paru. Pada pemeriksaan analisis gas darah ditemukan pH 7,35 , pC02 65 mmHg, HC03- 29 mmol/dL, p02 90 mmHg. Apakah mekanisme kompensasi yang paling mungkin terjadi pada kondisi tersebut?
Seorang laki-laki usia 20 tahun datang dengan keluhan sesak disertai mengi terutama malam hari sejak 1 minggu terakhir, batuk (+), demam (-), pasien pernah mengalami keluhan serupa 1 tahun yang lalu, ibu pasien juga pernah mengalami keluhan yang serupa dengan pasien. Pemeriksaan fisik pasien tampak duduk, TD 120/80, RR 28x/m, SpO2 90%, N: 118x/m, retraksi subclavicula (+), retraksi ICS (+), ekspirasi memanjang, wheezing terdengar di kedua lapang paru tanpa stetoskop. Manakah gambaran spirometry yang paling sesuai pada pasien ini?
Seorang laki-laki usia 64 tahun dibawa ke IGD karena keluhan sesak yang memberat sejak 1 minggu terakhir. Riwayat batuk batuk produktif berulang sejak 2 tahun SMRS diakui pasien, diketahui sesak terus menerus hilang timbul namun tidak pernah perbaikan penuh. Sesak tidak dipengaruhi aktivitas, nyeri dada disangkal, riwayat suara berubah mengi (+). Demam disangkal pasien. Pasien merokok sejak usia 20 tahun sebanyak 1 bungkus/hari. Pemeriksaan fisik tampak status gizi overweight, TD 130/90, Nadi 90x/m, RR: 26x/m, SpO2 91%, S: 36, thorax terdengar ronkhi +/+ wheezing +/+ dengan stetoskop, edema -/-. Pengobatan pada pasien ini meliputi….
Gambaran spirometry yang paling sesuai untuk pasien ini adalah?
Seorang laki-laki usia 54 tahun dibawa ke IGD Rumah Sakit dengan batuk dan demam tinggi. Batuk berdahak dengan bau amis dan berwarna anchovy. Saat ini pasien menderita tuberkulosis dan sedang mengonsumsi OAT. Dari hasil pemeriksaan fisik didapatkan tekanan darah 140/90 mmHg, denyut nadi 93x/menit, laju pernapasan 28x/menit, suhu 39,5oC Pada pemeriksaan perkusi didapatkan suara redup dan auskultasi terdengar amforik. Pemeriksaan penunjang DL hasil WBC 12.000, foto thorax didapatkan gambaran kavitas dengan air fluid level. Apakah tatalaksana farmakologi yang dapat diberikan untuk mencegah komplikasi pada pasien ini?
Seorang laki-laki usia 46 tahun datang ke poliklinik paru dengan keluhan sesak napas dan batuk kering sejak 3 bulan yang lalu. Riwayat sesak kambuh- kambuhan sebelumnya disangkal. Dari anamnesis pasien merupakan pekerja tambang sejak 20 tahun dan jarangmemakai masker saat bekerja. Hasil pemeriksaan fisik didapatkan tekanan darah 120/70 mmHg, denyut nadi 87x/menit, laju pernapasan 25x/menit, suhu 36,7oC, pemeriksaan penunjang foto thorax didapatkan gambaran ground glass appearance. Apakah diagnosis yang paling mungkin pada pasien ini?
Seorang pria usia 50 tahun, datang dengan keluhan sesak sejak 2 hari yang lalu. Pasien diketahui bekerja di tempat pengecoran logam sejak 18 tahun yang lalu. Pada pemeriksaan didapatkan adanya ronki kasar pada kedua lapang paru. Untuk menegakkan kecurigaan “silikosis”, gambaran yang terlihat dari hasil foto thorax pasien adalah?
Seorang laki-laki 20 tahun datang ke IGD dengan keluhan % sesak sejak 5 jam yang lalu. Pasien riwayat KLL. Pada pemeriksaan fisik didapatkan TD: 90/70mmHg, HR:100x/menit, RR: 40x/menit. Didapatkan deviasi trakea ke kiri, pada palpasi dada kana tertinggal, perkusi hipersonor, auskultasi didapatkan suara nafas pada dada kanan menghilang. Apakah tatalaksana definitive untuk pasien?
Seorang laki-laki usia 46 tahun datang ke puskesmas dengan keluhan batuk berdahak sejak 3 minggu yang lalu disertai sesak, sebelumnya 1 tahun lalu pasien terdiagnosis TB dan rutin menjalani pengobatan hingga dinyatakan sembuh, saat ini pasien juga kembali mengonsumsi obat TB. Dari hasil pemeriksaan fisik didapatkan tekanan darah 130/70 mmHg, denyut nadi 76x/menit, laju pernapasan 26x/menit, suhu 37,7 oC. Pemeriksaan bakteriologis pada bulan ke 2 didapatkan hasil +/+ dan pasien dinyatakan resisten terhadap rifampicin dan pirazinamid. Apakah diagnosis yang tepat pada pasien ini?
Seorang anak laki-laki usia 2 tahun, dibawa orangtuanya ke poliklinik karena mengalami batuk- batuk yang tidak kunjung sembuh sejak 3 bulan lalu. Pada awalnya batuk tidak berdahak, namun sejak 1 minggu terakhir dahak tampak kental dan kadang kehijauan. Orang tua pasien juga mengatakan ketika lahir perut pasien sangat cembung dan tidak BAB selama 1 minggu. Namun akhir-akhir ini BAB dirasakan sering dan tampak berlendir dan berbau. Pada tes klorida keringat didapatkan hasil 70 mEq/L. Diagnosis pasien ini adalah?
Seorang laki-laki usia 57 tahun datang dengan keluhan batuk berdarah sejak 1 bulan lalu. Keluhan disertai penurunan BB >10 kg dalam 2 bulan terakhir. Riwayat merokok sejak usia 17 tahun. Hasil pemeriksaan fisik didapatkan TD 150/100, Nadi 88x/menit, R 28x/menit, T 36,5 C. Perkusi redup pada hemithorax kanan. Rontgen thorax tampak lesi opak ukuran 4×3 cm, batas tidak tegas, spikula (+). Pemeriksaan baku emas untuk kasus ini adalah?
Wanita usia 50 tahun datang ke IGD dengan keluhan sesak sejak 5 hari lalu yang memberat, terdengar bunyi mengi. Pasien aktif perokok. Pemeriksaan fisik TD 155/80, HR 102x/m, RR 25x/m, SpO2 90%. Auskultasi didapatkan S1S2 regular, wheezing pada seluruh lapang. Hasil lab didapatkan leukosit 6.800, Hb 10, Ureum kreatinin normal, elektrolit normal. Rontgen didapatkan sela iga melebar dan kardiomegali. EKG tampak RBBB komplit, RVH dan p pulmonal. Diagnosa penyakit jantung pasien adalah?
Perempuan 60 tahun dirawat di rumah sakit karena ulkus DM di ruang biasa, sudah dirawat selama 4 hari karena kontrol gula darah yang buruk pada pasien sehingga terjadi penundaan operasi beberapa kali. Pada hari ke 4 pasien merasa sesak disertai dengan demam. Pada pemeriksaan x-ray thorax AP shift malam tampak infiltrat di kedua paru yang tidak ada pada pasien saat pasien masuk ke RS. Pada pemeriksaan fisik di shift pagi ditemukan adanya penurunan kesadaran, retraksi intercostal, akral dingin. TD: 80/60, RR: 28x/mnt, N: 120x/menit, S:35C, pemeriksaan lab: leukositosis, peningkatan CRP dan prokalsitonin. Dari pemeriksaan foto toraks tampak infiltrat di kedua paru.. Diagnosis pasien tersebut adalah…
Laki-laki usia 46 tahun datang ke poli paru dengan keluhan batuk berdahak disertai darah sejak 2 bulan lalu, badan sering demam tanpa sebab dan berat badan menurun dalam 2 bulan ini. Sudah periksa dan berobat di puskesmas namun belum membaik. Dokter berencana melakukan biakan pada dahak pasien. Media yang tepat digunakan oleh dokter adalah?
Pasien laki-laki usia 60 datang ke IGD RS dengan keluhan sesak dan bengkak di kedua kaki. Sesak dirasakan memberat sejak 1 minggu terakhir padahal pasien tidak bekerja. Pasien memiliki riwayat merokok sejak usia muda. Hasil pemeriksaan tanda vital TD 150/90 mmHg, RR 26 x/m, Nadi 100 x/m, Suhu afebris. Dari pemeriksaan fisik didapatkan peningkatan tekanan vena jugularis, wheezing bilateral serta edema pitting di kedua tungkai. Kemungkinan gambaran yang ditemukan pada EKG pasien adalah?
Seorang laki-laki 25 tahun datang ke poliklinik untuk kontrol bulan ke 5 pengobatan tuberkulosis paru. Saat ini pasien mengeluhkan pandangan kabur dan pasien sulit mengenali warna kuning dan hijau serta sulit membedakan warna ungu dan biru. Obat apakah yang menyebabkan efek samping pada pasien tersebut?
Wanita usia 26 tahun, datang dengan keluhan sesak sejak 3 jam yang lalu. pasien sudah sering mengalami hal serupa sejak kecil, serangan sesak terjadi 3x dalam sebulan. saat ini pasien dalam keadaan compos mentis, lebih suka posisi duduk, bicara kalimat terputus putus, N 100x/m RR 28x/m, didapatkan wheezing pada kedua lapang paru. Sudah diberikan bronkodilator, namun sesak masih ada. Tatalaksana selanjutnya adalah?
Seorang perempuan, 67 tahun dibawa keluarganya karena bicara sembarang setelah 7 hari sebelumnya demam dan batuk batuk. Diketahui batuk produktif berwarna kehijauan, riwayat alergi disangkal, riwayat paparan asap disangkal, riwayat kontak TB atau pengobatan TB sebelumnya disangkal. Dari pemeriksaan fisik didapatkan GCS 12, TD 90/50, N 122, RR 32x, Sh 37.8, SpO2 82% tanpa O2, Ronkhi basah kasar di kedua lapang paru. Apakah yang akan anda lakukan pada pasien ini?
Seorang laki-laki usia 25 tahun datang ke IGD dibawa oleh temannya dalam keadaan tidak sadar. Pada pemeriksaan ditemukan luka terbuka di dahi dan paha kanan yang masih mengeluarkan darah, tampak jejas di perut kanan atas pasien. Tampak jelas retraksi di suprasternal dan epigastrium. Apakah keadaan yang paling tepat terhadap keadaan nafas pasien ini?
Seorang pria usia 72 tahun datang dengan keluhan sesak nafas sejak 3 bulan yang lalu. Keluhan sesak nafas disertai dengan adanya bunyi mengi. Pasien juga mengeluhkan batuk- batuk berdahak. Diketahui sebelumnya pasien didiagnosis PPOK dan sedang menjalani terapi, akan tetapi pasien jarang kontrol. Pada pemeriksaan fisik didapatkan kesadaran kompos mentis, TD 140/90 mmHg, N 95x/menit, R 30x/menit, suhu 37,2oC. Setelah dilakukan pemeriksaan AGD didapatkan hasil sebagai berikut: pH 7,30 HCO3 40mM PCO2 50 mm Hg Diagnosis yang tepat pada kasus di atas adalah?
Seorang laki-laki berusia 75 tahun dibawa ke IGD karena keluhan sesak memberat sejak 1 minggu terakhir, sesak dirasakan hilang timbul sejak 1 bulan disertai batuk berdahak berwarna bening, pertama kali dirasakan 1 tahun yang lalu. Pasien juga mengeluh kadang kadang mengi, nyeri dada (-). Pasien merokok sejak usia 20 tahun sebanyak 1 bungkus/hari, berhenti 2 tahun yang lalu. Pemeriksaan fisik kesan BB kurang, TD 130/90, Nadi 90x/m, RR: 30x/m, SpO2 92% tanpa O2, S: 36.5, thorax pectus carinatum, terdengar ronkhi +/+ wheezing +/+ dengan stetoskop, edema -/-. Manakah gambaran radiologi yang seharusnya tidak ditemui pada pasien ini?
Seorang pria usia 40 tahun dibawa ke IGD karena mengalami mual disertai muntah sejak 1 minggu terakhir, sejak 2 hari terakhir muntah semakin hebat dan pasien tidak bias makan. Pasien sedang menjalankan pengobatan TB bulan ke 1. Pada pemeriksaan fisik TD 120/80, N: 100x/m, sclera ikterik +/+, hepatomegaly (+). SGPT 340, SGOT 237. Anjuran kepada pasien tersebut adalah…
Seorang pria usia 75 tahun dirujuk ke RS anda karena perburukan di RS sebelumnya. Pasien diketahui awalnya dirawat seminggu yang lalu karena PPOK eksaserbasi akut dan diberikan terapi antibiotik. Sekitar lima hari yang lalu hari yang lalu keluarga menyadari pasien mulai batuk batuk dan demam , saat ini sulit dibangunkan dan cenderung tidur terus. Pemeriksaan fisik menunjukkan TD 90/60 dengan norepinefrin, N 120x halus, RR 34x, Sh 37.0, SpO2 82 udara ruang. Pemeriksaan fisik menunjukkan ronchi kasar bilateral, dengan pemeriksaan penunjang menunjukkan peningkatan Ur/Cr dan SGOT/SGPT yang sebelumnya tidak ada. Pasien sebe Manakah terapi antibiotik paling baik untuk pasien ini?
Pasien laki-laki usia 35 tahun, datang ke RSUD dengan keluhan sesak nafas disertai batuk dan demam. Dari hasil pemeriksaan fisik didapatkan vital sign HR : 112x/I RR: 24x/I TD: 140/80 mmHg, T: 38 C. Dilakukan foto thoraks dan didapatkan gambar seperti dibawah. Antibiotik yang tepat yang diberikan pada pasien adalah?

Seorang perempuan 44 tahun datang berobat ke UGD karena sesak. Pasien Mengaku sesak memberat kurang lebih 1 minggu SMRS, disertai batuk dan demam ringan. Pemeriksaan fisik menunjukkan TD 110/70 Nadi 128x/menit RR 32x, Sh 37.7, Suara nafas menurun di lapang paru kanan. Apabila anda berencana untuk melakukan pleurosentesis dan tempat anda bekerja tidak memiliki fasilitas USG, dimanakah anda akan melakukan pengambilan sampel pleura?
Seorang perempuan 50 tahun datang ke rumah sakit dengan keluhan sesak napas. Sebelumnya pasien mengeluhkan batuk berdahak selama 1 bulan. Riwayat pasien menderita penyakit paru kronis dan pernah menjalani pengobatan TB sampai tuntas. Pada pemeriksaan fisik TD 130/80, N 100x/m, RR 26x/m, Tax 37. Hasil pem. Sputum dalam pot didapatkan Frothy sputum, mukus, pus dan darah. Hasil CXR didapatkan Tram-track Line (+). Kemungkinan diagnosis pasien tersebut adalah ?
Laki-laki usia 65 tahun. Keluhan : sesak nafas tiba-tiba 2 jam lalu, sesak tidak hilang dengan perubahan posisi. Riwayat imobilisasi pasca stroke 1 bulan lalu. TD 90/60, Nadi 110x/menit, Napas 28x/menit. Pem. fisik : edema unilateral ekstremitas bawah sinistra. Hasil pemeriksaan laboratorium didapatkan Hb 12, HT 40%, leukosit 13200, trombosit 160.000 serta peningkatan D-Dimer. Terapi inisial yang diberikan pada pasien ini adalah?
Seorang pria berusia 41 tahun, datang dengan keluhan sesak yang hilang timbul sejak 2 bulan ini. Pasien meminta untuk dilakukan pemeriksaan spirometri. Kebetulan pasien tidak dalam kondisi sesak saat ini. Pada pemeriksaan spirometri didapatkan hasil sebagai berikut. Apakah interpretasi hasil spirometri di atas?

Seorang laki-laki usia 20 tahun menelepon dan mengatakan bawa ia mendapatkan hasil swab nasofaring dari laboratorium dengan hasil positif SARS-CoV-2. Pasien mengaku tidak memiliki gejala apapun. Berdasarkan panduan WHO, tergolong apakah pasien tersebut dan berdasarkan rekomendasi Kemenkes, tata laksana apakah yang tepat?
Seorang pria usia 45 tahun datang dengan keluhan batuk berdahak kecoklatan sejak 1 minggu yang lalu. Keluhan disertai nyeri dada dan demam. Pada pemeriksaan fisik didapatkan TD 110/70 mmHg, HR 80x/min, RR 22x/min, suhu 38,7oC. Pada PF didapatkan perkusi pekak pada lapang tengah paru kanan, rhonki (+), suara napas amforik (+). Setelah dilakukan pemeriksaan foto thoraks didapatkan gambaran kavitas disertai air fluid level. Diagnosis pada pasien adalah?
Seorang pria usia 70 tahun datang ke puskesmas dengan keluhan batuk berdahak sejak 1 minggu yang lalu disertai demam dan sesak nafas. Pasien sedang dalam perawatan dengan diagnosis stroke. Diketahui pasien sering diberi makan dengan posisi berbaring. Pada pemeriksaan fisik pasien tampak sakit sedang dan compos mentis. Vital sign TD 160/90, N 90X/menit, RR 30x/menit, suhu 38,5. Pada pemeriksaan fisik paru, perkusi redup pada basal paru kanan, auskultasi ronki basah kasar di basal paru kanan dan jantung dalam batas normal. Foto CXR terlampir. Diagnosis yang tepat pada pasien ini adalah?
Seorang pria usia 55 tahun, datang ke poli dengan keluhan sesak. Sesak diperberat dengan aktivitas dirasakan makin hari makin memberat. Keluhan disertai batuk kronik dan berdahak. Sehari- hari pasien merokok sebanyak 1 bungkus/hari. Pasien bekerja di pertambangan batu bara. Dari pemeriksaan fisik didaptkan TD 130/80, Nadi 88x/menit, RR 25x/menit, suhu 36,5 ̊C. Pada pemeriksaan fisik paru didapatkan barrel chest (+) dan ekspirasi memanjang. Pola diet yang paling tepat untuk pasien ini adalah?
Seorang pria usia 53 tahun datang ke IGD RS dengan keluhan demam, batuk, dan sesak napas sejak 3 hari yang lalu. Batuk berdahak bewarna kemerahan dan kental seperti jeli. Pada pemeriksaan didapatkan RR 26 x/menit, HR 100 x/menit, TD 100/70 mmHg, suhu 38,50C. Pemeriksaan fisik paru didapatkan suara ronki basah halus pada hemitoraks kanan. Pemeriksaan radiologis didapatkan gambaran sebagai berikut. Kemungkinan etiologi pada kasus di atas adalah?

Seorang pria usia 62 tahun datang ke IGD dengan keluhan sesak. Sesak sudah dirasakan sejak 5 bulan terakhir dan semakin memburuk. Pasien menyangkal adanya batuk, demam, maupun penurunan BB. Pasien menyatakan tidak pernah merokok dan selama ini bekerja sebagai pembuat kapal selama lebih dari 20 tahun. TD 110/70 mmHg, nadi 98x/min, RR 24x/min, suhu 36,7 C. Jika dilakukan pemeriksaan foto thorax, gambaran apa yang akan tampak pada pemeriksaan tersebut?
Seorang pria usia 42 tahun, datang dengan keluhan batuk berdahak warna hijau kecokelatan dan berbau sejak 2 minggu yang lalu. Keluhan disertai sesak nafas, nyeri dada yang terasa tajam, dan demam. Keluhan keringat malam disangkal. Tidak ada riwayat merokok dan tidak ada keluhan serupa pada orang sekitar. Pada pemeriksaan didapatkan TD 120/70 mmHg, HR 88x/menit, RR 22x/menit, dan suhu 38,4°C. Pada pemeriksaan paru terdengar ronki di lapang bawah paru kanan. Hasil rontgen toraks menunjukkan adanya gambaran kista multipel di lapang bawah paru kanan. Apa kemungkinan organisme penyebab keluhan pasien tersebut?
Seorang pria usia 60 tahun datang dibawa keluarganya karena tidak dapat diajak berbicara sejak 4 jam yang lalu. Pasien memiliki riwayat penyakit kencing manis sejak 5 tahun yang lalu. Pada pemeriksaan fisik didapatkan kesadaran somnolen, TD 80/60 mmHg, RR 28 x/menit, cepat dan dalam. Pada pemeriksaan darah didapatkan GDS 480 mg/dl, pH 7,23, HCO3- menurun, pCO2 dalam batas normal, anion gap meningkat. Kondisi asam-basa pada pasien yang tepat adalah?
Laki-laki, usia 34 tahun, datang dengan keluhan sesak dan demam sejak 2 hari SMRS. Os diketahui HIV (+), hitung CD4 210/mm3, sejak 1 bulan lalu mendapat pengobatan ARV. Os diketahui TB paru BTA positif, mendapat pengobatan TB sejak 2 minggu lalu. Dari roentgen thoraks didapatkan gambaran perluasan lesi. Apakah diagnosis yang mungkin pada pasien ini?
Seorang pria usia 34 tahun, datang ke poli paru untuk kontrol. Pasien memiliki riwayat asma sejak 5 tahun dan rutin menggunakan inhalasi albuterol. Pasien mengaku keluhan sesak hampir dialami setiap hari dan tidur terganggu karena sesak. Pemeriksaan fisik dalam batas normal. Ayah pasien merupakan penderita dermatitis atopi serta kakak pasien memiliki keluhan yang sama dengan pasien. Tatalaksana yang tepat selanjutnya untuk pasien tersebut adalah?
Seorang perempuan berusia 22 tahun, G1P2A0, hamil 28 minggu, datang dengan keluhan batuk berdahak sejak 1 bulan lalu. Disertai demam, keringat malam, nafsu makan menurun dan penurunan berat badan. Suami penderita TB. Pada PF didapatkan TD 110/80 mmHg, HR 70 x/menit, RR 20 x/menit, suhu 38oC. Status generalis dalam batas normal. BTA sputum (++). Regimen antibiotik fase regimen yang tepat untuk pasien ini adalah?
Pasien laki-laki, 68 tahun, datang dengan keluhan sesak nafas disertai batuk sejak 3 minggu. Batuk pasien mengeluarkan dahak kental berwarna kuning sampai kecoklatan. Riwayat batuk darah disangkal. Pasien adalah perokok berat, sudah merokok sejak usia 17 tahun. Dari pemeriksaan ditemukan hemithorax cembung dan perkusi hipersonor di kedua lapang paru. Apa yang diharapkan dari pemeriksaan spirometri pada pasien ini?
Ny, P, 70 tahun pasien ICU hari rawat ke-4, mengalami demam sejak 1 hari yang lalu, pasien sebelumnya dirawat karena mengalami stroke perdarahan dan dilakukan pemasangan ventilator sejak pertama kali masuk ke ICU. Saat ini kesadaran DPO, TD 150/90, S: 39.5, RR: 30x/m, N: 140x/m, Ronkhi +/+ kasar pada paru, Slem +/+. Leukosit meningkat menjadi 16.800. Diagnosis pasien tersebut adalah…
Seorang perempuan berusia 22 tahun datang ke praktik dokter dengan keluhan batuk yang tidak kunjung sembuh. Semenjak 3 tahun terakhir pasien juga sering batuk kering dan sesak hilang timbul, tapi membaik jika pasien minum obat batuk warung. Sejak 3 tahun yang lalu itu juga, pasien mempunyai riwayat sering demam pada malam hari dan sering terdapat memar pada tungkai dan palmar. Terkadang pasien juga sering nyeri sendi terutama pada lutut. PF konjungtiva anemis, Hb 10 g/dL, leukosit 8500 x 103/μL dan trombosit 168.000 x 103/μL. Diagnosis apakah yang utama pada pasien ini?
Akun dormant dengan kondisi seperti di bawah ini:
Akan dihapus secara otomatis oleh sistem. Setelah akun dihapus, pengguna dapat menggunakan email yang sama untuk pendaftaran. Dengan pertimbangan banyaknya akun spam dan meningkatkan kualitas layanan Peserta Terverifikasi iPass Course. Atas perhatiannya kami ucapkan terimakasih
Butuh Bantuan?
Kami Siap Membantu
